第19页
- 第1页
- 第2页
- 第3页
- 第4页
- 第5页
- 第6页
- 第7页
- 第8页
- 第9页
- 第10页
- 第11页
- 第12页
- 第13页
- 第14页
- 第15页
- 第16页
- 第17页
- 第18页
- 第19页
- 第20页
- 第21页
- 第22页
- 第23页
- 第24页
- 第25页
- 第26页
- 第27页
- 第28页
- 第29页
- 第30页
- 第31页
- 第32页
- 第33页
- 第34页
- 第35页
- 第36页
- 第37页
- 第38页
- 第39页
- 第40页
- 第41页
- 第42页
- 第43页
- 第44页
- 第45页
- 第46页
- 第47页
- 第48页
- 第49页
- 第50页
- 第51页
- 第52页
- 第53页
- 第54页
- 第55页
- 第56页
- 第57页
- 第58页
- 第59页
- 第60页
- 第61页
- 第62页
- 第63页
- 第64页
- 第65页
- 第66页
- 第67页
- 第68页
- 第69页
- 第70页
- 第71页
- 第72页
- 第73页
- 第74页
- 第75页
- 第76页
- 第77页
- 第78页
- 第79页
- 第80页
- 第81页
- 第82页
- 第83页
- 第84页
- 第85页
- 第86页
- 第87页
- 第88页
- 第89页
- 第90页
- 第91页
- 第92页
- 第93页
- 第94页
- 第95页
- 第96页
- 第97页
- 第98页
- 第99页
- 第100页
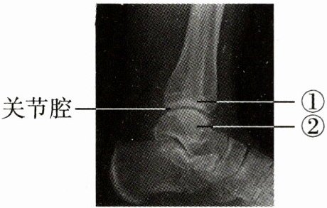
3. 下图为某人的踝关节射线透视图像,①②表示踝关节的组成结构。下列说法错误的是(

A.①是关节头,②是关节窝
B.①②表面覆盖着关节软骨
C.关节腔内有滑液,使关节灵活
D.踝关节在运动中起支点作用
A
)A.①是关节头,②是关节窝
B.①②表面覆盖着关节软骨
C.关节腔内有滑液,使关节灵活
D.踝关节在运动中起支点作用
答案:
A 解析:题图中的①是关节窝,②是关节头;①关节窝、②关节头表面覆盖着关节软骨;关节腔内有滑液,能减少骨与骨之间的摩擦,使关节灵活;运动中,神经系统起调节作用,骨起杠杆作用,关节起支点作用,骨骼肌收缩提供动力,故踝关节在运动中起支点作用。
4. 凉山“达体舞”的各种动作要通过头、颈、躯干等多个关节的屈伸和转动来完成。下列叙述正确的是(
A.只要运动系统完好,就能完成“达体舞”动作
B.骨在运动中起杠杆的作用
C.做屈肘动作时,肱二头肌和肱三头肌都舒张
D.一块骨骼肌附着在同一块骨上
B
)A.只要运动系统完好,就能完成“达体舞”动作
B.骨在运动中起杠杆的作用
C.做屈肘动作时,肱二头肌和肱三头肌都舒张
D.一块骨骼肌附着在同一块骨上
答案:
B 解析:运动并不是仅靠运动系统来完成的,它需要神经系统的控制和调节,还需要消化系统、呼吸系统、循环系统等系统的配合;人体能产生运动,是因为骨骼肌受到神经传来的刺激而收缩,牵动骨绕关节活动,其中骨起杠杆作用,关节起支点作用,骨骼肌收缩产生动力;做屈肘动作时,肱二头肌收缩,肱三头肌舒张;骨骼肌包括肌腱和肌腹两部分,骨骼肌两端呈乳白色的肌腱跨过关节附着在不同的骨上。
5. 模型制作是学习生物学的一种有效方法。图甲是某同学利用木板、松紧带、螺丝等材料制作的一个肌肉牵动骨运动的模型,图乙是人体屈肘动作示意图。图甲中的木板、松紧带、螺丝分别相当于图乙中的(


A.木板—②、松紧带—①、螺丝—③
B.木板—②、松紧带—③、螺丝—①
C.木板—①、松紧带—②、螺丝—③
D.木板—①、松紧带—③、螺丝—②
A
)A.木板—②、松紧带—①、螺丝—③
B.木板—②、松紧带—③、螺丝—①
C.木板—①、松紧带—②、螺丝—③
D.木板—①、松紧带—③、螺丝—②
答案:
A 解析:在题图甲所示模型中,木板为其他部分提供了一个稳定的支撑,相当于题图乙中的②骨;松紧带是可以伸缩的,它模拟了肌肉在收缩时能够产生动力的特性,因此,松紧带相当于题图乙中的①肌肉;螺丝起到连接和固定的作用,相当于题图乙中的③关节。
6. 每天的课间操时间,同学们都要到操场上做一系列的运动。人的运动依赖于一定的身体结构,请据图回答下列问题。

(1) 进行各项体育运动时,关节起到
(2) 由图乙可以知道,骨骼肌两端的[⑥]
(3) 跑跳时不断进行腿部的屈伸运动,会涉及以下步骤:a. 相应的骨受到牵引;b. 骨骼肌收缩;c. 骨骼肌接受神经传来的神经冲动;d. 骨绕关节活动。这些步骤的正确顺序是
(1) 进行各项体育运动时,关节起到
支点
的作用。图甲是关节结构示意图,在跑跳过程中,能够增加关节的牢固性并有效防止关节脱位的结构是[②
]关节囊
,能够起到缓冲机械压力作用的结构是[⑤
]关节软骨
。(2) 由图乙可以知道,骨骼肌两端的[⑥]
肌腱
分别附着在不同的骨上。(3) 跑跳时不断进行腿部的屈伸运动,会涉及以下步骤:a. 相应的骨受到牵引;b. 骨骼肌收缩;c. 骨骼肌接受神经传来的神经冲动;d. 骨绕关节活动。这些步骤的正确顺序是
cbad
(用字母表示)。
答案:
(1)支点 ② 关节囊 ⑤ 关节软骨
(2)肌腱
(3)cbad
(1)支点 ② 关节囊 ⑤ 关节软骨
(2)肌腱
(3)cbad
查看更多完整答案,请扫码查看