2. (湖南中考)醉酒的人一般会出现口齿不清、动作不协调、身体平衡能力减弱等现象。这是因为酒精分别麻醉了(
A.大脑、小脑
B.大脑、脑干
C.小脑、脊髓
D.小脑、脑干
A
)。A.大脑、小脑
B.大脑、脑干
C.小脑、脊髓
D.小脑、脑干
答案:
A 解析:语言中枢在大脑皮层,因此醉酒的人出现口齿不清,是因为酒精麻醉了大脑的语言中枢。小脑可以协调运动,维持身体的平衡,因此醉酒的人出现动作不协调、身体平衡能力减弱,是因为酒精麻醉了小脑。
3. (安徽滁州模拟)右下图为缩手的反射的反射弧,当②处受损不能传递神经冲动,针刺⑤会出现的现象是(

A.能在③处形成感觉,①处肌肉不能收缩
B.不能在③处形成感觉,①处肌肉能收缩
C.能在大脑形成感觉,①处肌肉不能收缩
D.不能在大脑形成感觉,①处肌肉能收缩
C
)。A.能在③处形成感觉,①处肌肉不能收缩
B.不能在③处形成感觉,①处肌肉能收缩
C.能在大脑形成感觉,①处肌肉不能收缩
D.不能在大脑形成感觉,①处肌肉能收缩
答案:
C 解析:题图中②传出神经遭到损伤,⑤感受器产生的神经冲动能通过④传入神经传到③神经中枢,进而传到大脑皮层产生感觉,但不能通过②传出神经传到效应器,所以损伤②后,大脑有感觉,但不能发生缩手的反射,①处肌肉不能收缩。
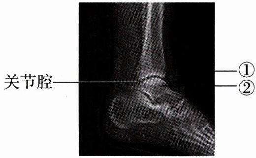
4. (河北中考)右下图为某人左脚的踝关节射线透视图像,①②表示踝关节内的结构。下列说法错误的是(

A.①是关节头,②是关节窝
B.①②表面覆盖着关节软骨
C.关节腔内有滑液,使关节灵活
D.踝关节在运动中起枢纽(支点)作用
A
)。A.①是关节头,②是关节窝
B.①②表面覆盖着关节软骨
C.关节腔内有滑液,使关节灵活
D.踝关节在运动中起枢纽(支点)作用
答案:
A 解析:关节面包括关节头和关节窝,由题图可知,①是关节窝,②是关节头。
5. (安徽滁州模拟)研究人员将幼鼠某种腺体切除,幼鼠表现为精神萎靡,生长发育也几乎停止。切除的腺体最可能是(
A.垂体
B.甲状腺
C.胰腺
D.性腺
B
)。A.垂体
B.甲状腺
C.胰腺
D.性腺
答案:
B 解析:甲状腺分泌甲状腺激素,主要作用是促进新陈代谢和生长发育,提高神经系统的兴奋性。研究人员将幼鼠某种腺体切除,幼鼠表现为精神萎靡,生长发育也几乎停止,则切除的腺体最可能是甲状腺。
6. (云南昆明模拟)人工胰腺是一种全闭环自动胰岛素输送系统,可用于治疗(
A.侏儒症
B.糖尿病
C.巨人症
D.地方性甲状腺肿
B
)。A.侏儒症
B.糖尿病
C.巨人症
D.地方性甲状腺肿
答案:
B 解析:胰岛素分泌不足易患糖尿病;糖尿病患者需注射胰岛素制剂来治疗。人工胰腺是一种全闭环自动胰岛素输送系统,相当于注射胰岛素来治疗糖尿病。
7. (湖南湘潭模拟改编)脊髓灰质炎是由脊髓灰质炎病毒引起的急性传染病,主要侵染人体的脊髓灰质,导致患者运动受限,严重者出现瘫痪。请据图回答下列问题。
(1)图甲中,正常人行走时,腓肠肌收缩,牵动跟骨带动距骨绕踝关节活动,使足跟上提。腓肠肌属于反射弧中的
(2)脊髓灰质炎病毒侵染脊髓前角的运动神经细胞,使反射弧中的
(3)在小腿外侧加装“外骨骼”装置(如图乙),可以辅助患者完成上提足跟动作,装置中的弹簧替代患者的

(1)图甲中,正常人行走时,腓肠肌收缩,牵动跟骨带动距骨绕踝关节活动,使足跟上提。腓肠肌属于反射弧中的
效应器
。(2)脊髓灰质炎病毒侵染脊髓前角的运动神经细胞,使反射弧中的
神经中枢
受损,导致患者不能上提足跟。(3)在小腿外侧加装“外骨骼”装置(如图乙),可以辅助患者完成上提足跟动作,装置中的弹簧替代患者的
腓肠肌
完成功能。
答案:
(1)效应器 (2)神经中枢 (3)腓肠肌
查看更多完整答案,请扫码查看