第16页
- 第1页
- 第2页
- 第3页
- 第4页
- 第5页
- 第6页
- 第7页
- 第8页
- 第9页
- 第10页
- 第11页
- 第12页
- 第13页
- 第14页
- 第15页
- 第16页
- 第17页
- 第18页
- 第19页
- 第20页
- 第21页
- 第22页
- 第23页
- 第24页
- 第25页
- 第26页
- 第27页
- 第28页
- 第29页
- 第30页
- 第31页
- 第32页
- 第33页
- 第34页
- 第35页
- 第36页
- 第37页
- 第38页
- 第39页
- 第40页
- 第41页
- 第42页
- 第43页
- 第44页
- 第45页
- 第46页
- 第47页
- 第48页
- 第49页
- 第50页
- 第51页
- 第52页
- 第53页
- 第54页
- 第55页
- 第56页
- 第57页
- 第58页
- 第59页
- 第60页
- 第61页
- 第62页
- 第63页
- 第64页
- 第65页
- 第66页
- 第67页
- 第68页
- 第69页
- 第70页
- 第71页
- 第72页
- 第73页
- 第74页
核心构建

1. 对于运动系统部分:
运动系统由骨、①关节、②骨骼肌组成,其中骨起杠杆作用,关节起支点作用,骨骼肌起动力作用。
2. 对于其他系统部分:
运动需要③神经系统的控制和调节,还需要消化系统、呼吸系统、循环系统等提供能量。
体育运动与健康中,(4)使用必要的运动④防护用品。
故答案依次为:①关节;②骨骼肌;③神经;④防护用品。
运动系统由骨、①关节、②骨骼肌组成,其中骨起杠杆作用,关节起支点作用,骨骼肌起动力作用。
2. 对于其他系统部分:
运动需要③神经系统的控制和调节,还需要消化系统、呼吸系统、循环系统等提供能量。
体育运动与健康中,(4)使用必要的运动④防护用品。
故答案依次为:①关节;②骨骼肌;③神经;④防护用品。
答案:
1. 对于运动系统部分:
运动系统由骨、①关节、②骨骼肌组成,其中骨起杠杆作用,关节起支点作用,骨骼肌起动力作用。
2. 对于其他系统部分:
运动需要③神经系统的控制和调节,还需要消化系统、呼吸系统、循环系统等提供能量。
体育运动与健康中,(4)使用必要的运动④防护用品。
故答案依次为:①关节;②骨骼肌;③神经;④防护用品。
运动系统由骨、①关节、②骨骼肌组成,其中骨起杠杆作用,关节起支点作用,骨骼肌起动力作用。
2. 对于其他系统部分:
运动需要③神经系统的控制和调节,还需要消化系统、呼吸系统、循环系统等提供能量。
体育运动与健康中,(4)使用必要的运动④防护用品。
故答案依次为:①关节;②骨骼肌;③神经;④防护用品。
1. “生命在于运动。”下列有关人体运动的叙述,正确的是(
A.运动系统由神经、骨骼、关节和肌肉组成
B.关节由关节头、关节囊和关节腔组成
C.骨骼肌由两端的肌腹和中间的肌腱组成
D.骨与骨之间通过关节等结构相连形成骨骼
D
)A.运动系统由神经、骨骼、关节和肌肉组成
B.关节由关节头、关节囊和关节腔组成
C.骨骼肌由两端的肌腹和中间的肌腱组成
D.骨与骨之间通过关节等结构相连形成骨骼
答案:
D 解析:运动系统主要由骨、关节和肌肉组成;关节主要由关节面、关节囊和关节腔组成;骨骼肌由中间较粗的肌腹和两端较细的肌腱组成;骨与骨之间通过关节等结构相连形成骨骼。
2. 运动护膝(图甲)可依靠紧实的包裹增加膝关节的牢固性,避免膝关节受伤。运动护膝的作用类似于关节(图乙)结构中的(

A.①④
B.②
C.③
D.⑤
B
)A.①④
B.②
C.③
D.⑤
答案:
B 解析:②关节囊包裹着整个关节,内侧和外侧都有韧带,可以将关节头牢固地固定在关节窝中,增加关节的牢固性。因此,运动护膝的作用类似于关节结构中的关节囊。
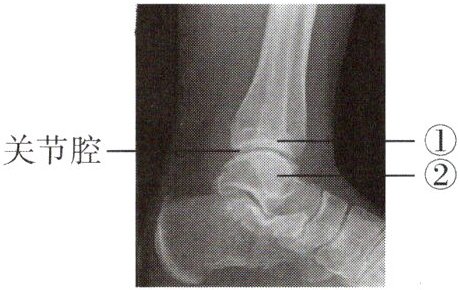
3. 下图为某人的踝关节射线透视图像,①②表示踝关节的组成结构。下列说法错误的是(

A.①是关节头,②是关节窝
B.①②表面覆盖着关节软骨
C.关节腔内有滑液,使关节灵活
D.踝关节在运动中起支点作用
A
)A.①是关节头,②是关节窝
B.①②表面覆盖着关节软骨
C.关节腔内有滑液,使关节灵活
D.踝关节在运动中起支点作用
答案:
A 解析:题图中的①是关节窝,②是关节头;①关节窝、②关节头表面覆盖着关节软骨;关节腔内有滑液,能减少骨与骨之间的摩擦,使关节灵活;运动中,神经系统起调节作用,骨起杠杆作用,关节起支点作用,故踝关节在运动中起支点作用。
4. 模型制作是学习生物学的一种有效方法。图甲是某同学利用木板、松紧带、螺丝等材料制作的一个肌肉牵动骨运动的模型,图乙是人体屈肘动作示意图。图甲中的木板、松紧带、螺丝分别相当于图乙中的(

A.木板—②、松紧带—①、螺丝—③
B.木板—②、松紧带—③、螺丝—①
C.木板—①、松紧带—②、螺丝—③
D.木板—①、松紧带—③、螺丝—②
A
)A.木板—②、松紧带—①、螺丝—③
B.木板—②、松紧带—③、螺丝—①
C.木板—①、松紧带—②、螺丝—③
D.木板—①、松紧带—③、螺丝—②
答案:
A 解析:在题图甲所示模型中,木板为其他部分提供了一个稳定的支撑,相当于题图乙中的②骨;松紧带是可以伸缩的,它模拟了肌肉在收缩时能够产生动力的特性,因此,松紧带相当于题图乙中的①肌肉;螺丝起到连接和固定的作用,相当于题图乙中的③关节。
查看更多完整答案,请扫码查看