2025年优选课堂必刷题高一生物
注:目前有些书本章节名称可能整理的还不是很完善,但都是按照顺序排列的,请同学们按照顺序仔细查找。练习册 2025年优选课堂必刷题高一生物 答案主要是用来给同学们做完题方便对答案用的,请勿直接抄袭。
1. 如图是某生物体细胞有丝分裂后期示意图,下列有关叙述正确的是(

A.该图是植物细胞有丝分裂示意图
B.甲在分裂前期数目倍增并移向细胞两极
C.乙和丙中的蛋白质合成的时期不同
D.图中1、2属于姐妹染色单体
C
)A.该图是植物细胞有丝分裂示意图
B.甲在分裂前期数目倍增并移向细胞两极
C.乙和丙中的蛋白质合成的时期不同
D.图中1、2属于姐妹染色单体
答案:
C A. 该图细胞无细胞壁,有中心体,是动物细胞有丝分裂示意图,A 错误;B. 甲是中心体,其数目的倍增发生在分裂间期,B 错误;C. 乙为染色体,丙为纺锤丝,乙和丙中的蛋白质合成的时期不同,乙中蛋白质的合成时期是 $ G_1 $ 期,而丙中蛋白质的合成时期是 $ G_2 $ 期,C 正确;D. 图中 1、2 原属于姐妹染色单体分开形成的染色体,D 错误。故选 C。
2. 下列关于细胞周期的叙述中,正确的是(
A.抑制 DNA 的合成,细胞将停留在分裂期
B.细胞周期分为前期、中期、后期、末期
C.细胞分裂间期为细胞分裂期提供物质基础
D.从细胞分裂开始到分裂结束即为一个细胞周期
C
)A.抑制 DNA 的合成,细胞将停留在分裂期
B.细胞周期分为前期、中期、后期、末期
C.细胞分裂间期为细胞分裂期提供物质基础
D.从细胞分裂开始到分裂结束即为一个细胞周期
答案:
C A. 细胞分裂间期主要进行 DNA 的复制和有关蛋白质的合成,因此抑制 DNA 的合成,细胞将停留在分裂间期,A 错误;B. 细胞周期分为间期、前期、中期、后期和末期,B 错误;C. 细胞分裂间期主要进行 DNA 的复制和有关蛋白质的合成,为细胞分裂期提供物质基础,C 正确;D. 只有连续分裂的细胞才有细胞周期,细胞周期是指从一次细胞分裂完成时开始到下一次分裂完成时为止,D 错误。故选 C。
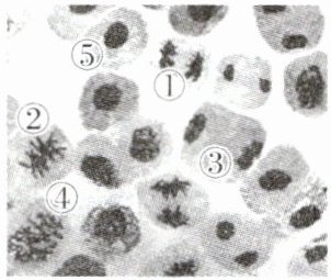
3. (2025·高一上江苏南京期末)如图为高倍显微镜下观察到的洋葱根尖分生区细胞有丝分裂图像,其中①~④代表不同的时期。下列叙述正确的是(

A.实验过程中需对根尖依次进行固定、解离、漂洗、染色、制片观察
B.实验过程中,可观察到②时期的细胞进入①时期
C.④时期细胞的 DNA 数目是⑤时期细胞的两倍
D.统计多个视野中各个时期的细胞数目,可估算出分生区细胞的细胞周期
A
)A.实验过程中需对根尖依次进行固定、解离、漂洗、染色、制片观察
B.实验过程中,可观察到②时期的细胞进入①时期
C.④时期细胞的 DNA 数目是⑤时期细胞的两倍
D.统计多个视野中各个时期的细胞数目,可估算出分生区细胞的细胞周期
答案:
A 实验过程中需对根尖依次进行固定、解离(用药液使组织中的细胞相互分离开来)、清水漂洗、染色、制片观察,A 正确;实验过程中,解离时细胞已经死亡,不能观察到②时期的细胞进入①时期,B 错误;④时期细胞的 DNA 数目是⑤时期细胞的两倍或相等,C 错误;统计视野中各细胞数目,只能推算每个时期时长在细胞周期总时长中占的比例,不能计算细胞周期的时长,D 错误。故选 A。
4. 如图所示为来自同一人体的 3 种细胞,下列叙述正确的是(

A.因为来自同一人体,所以各细胞中的高尔基体含量相同
B.因为各细胞核中的基因种类不同,所以形态、功能不同
C.虽然各细胞大小不同,但细胞中含量最多的都是蛋白质
D.虽然各细胞的生理功能有所不同,但所含遗传物质相同
D
)A.因为来自同一人体,所以各细胞中的高尔基体含量相同
B.因为各细胞核中的基因种类不同,所以形态、功能不同
C.虽然各细胞大小不同,但细胞中含量最多的都是蛋白质
D.虽然各细胞的生理功能有所不同,但所含遗传物质相同
答案:
D 图示细胞来自同一人体,即是由同一个受精卵细胞经过分裂、分化形成的,它们具有不同的形态、结构和功能,因此,图示各细胞中的高尔基体含量可能不同,A 错误;图示细胞由于来自同一人体,所以各个细胞的细胞核中含有的基因种类相同,B 错误;虽然各细胞大小不同,但细胞中含量最多的化合物相同,都是水,C 错误;虽然各细胞的生理功能有所不同,但这些细胞是由同一个受精卵经过有丝分裂、分化来的,因此这些细胞中含有的遗传物质是相同的,D 正确。故选 D。
查看更多完整答案,请扫码查看