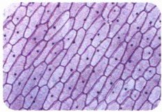
洋葱表皮细胞
洋葱细胞的形状大体为______,有细胞壁、细胞膜、细胞质、细胞核、液泡等。观察洋葱表皮细胞时,看到的小黑点是______,看到的大泡泡是______。
胡克观察到的细胞
第一个发现细胞的人是英国科学家______,他用显微镜观察一块软木片,发现木片上看上去像有一间间长方形的小房间,就把它们命名为______。
洋葱细胞的形状大体为______,有细胞壁、细胞膜、细胞质、细胞核、液泡等。观察洋葱表皮细胞时,看到的小黑点是______,看到的大泡泡是______。
胡克观察到的细胞
第一个发现细胞的人是英国科学家______,他用显微镜观察一块软木片,发现木片上看上去像有一间间长方形的小房间,就把它们命名为______。
答案:
长方形 细胞核 液泡 罗伯特·胡克 细胞
1. 1665年,( )用自制的复合显微镜观察一块软木薄片的结构,他将观察到的“小房间”命名为细胞。
A.列文虎克
B.伽利略
C.达尔文
D.罗伯特·胡克
A.列文虎克
B.伽利略
C.达尔文
D.罗伯特·胡克
答案:
D
2. 为了看清楚洋葱表皮细胞,小科应该把( )放到显微镜载物台上进行观察。
A.整个洋葱
B.半个洋葱
C.洋葱表皮玻片标本
D.一瓣洋葱片
A.整个洋葱
B.半个洋葱
C.洋葱表皮玻片标本
D.一瓣洋葱片
答案:
C
3. 小科在使用显微镜观察洋葱表皮细胞时,发现显微镜内的视野太暗了,要增强视野亮度可以调节显微镜的( )。
A.压片夹
B.目镜
C.反光镜
D.载物台
A.压片夹
B.目镜
C.反光镜
D.载物台
答案:
C
4. 观察洋葱表皮细胞时,视野中图像非常模糊(如右下图所示),此时应该转动( ),直到图像清晰。
A.调节旋钮
B.物镜
C.反光镜
D.目镜
A.调节旋钮
B.物镜
C.反光镜
D.目镜
答案:
A
5. 小科在显微镜下观察到洋葱表皮细胞内有小黑点,这些小黑点是( )。
A.细胞核
B.细胞质
C.细胞膜
D.液泡
A.细胞核
B.细胞质
C.细胞膜
D.液泡
答案:
A
6. [新趋势·创新思维]小科在用显微镜观察某个细胞时,视野中只有细胞的左下角部分,要想观察到完整的细胞,应该将玻片向( )方移动。
A.左上
B.右上
C.左下
D.右下
A.左上
B.右上
C.左下
D.右下
答案:
B
7. (名校期末真题)观察洋葱内表皮细胞时,细胞呈现黄色,主要原因是( )。
A.显微镜的镜片是黄色的
B.洋葱内表皮是黄色的
C.反光镜反射的光线是黄色的
D.制作玻片标本时进行了染色
A.显微镜的镜片是黄色的
B.洋葱内表皮是黄色的
C.反光镜反射的光线是黄色的
D.制作玻片标本时进行了染色
答案:
D
8. 下列描述不符合小科观察到的洋葱表皮细胞的是( )。
A.细胞呈长方形的小格子形状
B.细胞之间的界限很不清晰
C.细胞排列得比较整齐,有规律
D.细胞内还有液泡、小黑点
A.细胞呈长方形的小格子形状
B.细胞之间的界限很不清晰
C.细胞排列得比较整齐,有规律
D.细胞内还有液泡、小黑点
答案:
B
查看更多完整答案,请扫码查看