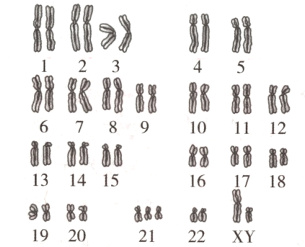
11. 现代遗传学认为,染色体是遗传物质的主要载体。如图为唐氏综合征(又叫 21 三体综合征,即患者比正常人多了一条 21 号染色体)患者体细胞内部分染色体的组成。下列叙述错误的是( )
A. 染色体主要是由 DNA 和蛋白质组成的
B. 正常人的体细胞内染色体是成对存在的
C. 该患者体细胞内染色体组成为 44+XY
D. 据图判断该患者的性别为男性
A. 染色体主要是由 DNA 和蛋白质组成的
B. 正常人的体细胞内染色体是成对存在的
C. 该患者体细胞内染色体组成为 44+XY
D. 据图判断该患者的性别为男性
答案:
C 解析:该患者比正常人多了一条21号染色体,故该患者体细胞内染色体组成为45+XY。
12. 如图表示人的性别决定遗传图谱,下列关于人的性别遗传及该图谱的描述,合理的是( )
A. 母亲体细胞中染色体组成为 22 条常染色体+X
B. 后代 A 的性别为男孩,其生殖细胞含有 23 条染色体
C. 生男还是生女主要取决于母亲,与父亲无关
D. 理论上,后代 A 和后代 B 出现的比例为 1:1
A. 母亲体细胞中染色体组成为 22 条常染色体+X
B. 后代 A 的性别为男孩,其生殖细胞含有 23 条染色体
C. 生男还是生女主要取决于母亲,与父亲无关
D. 理论上,后代 A 和后代 B 出现的比例为 1:1
答案:
D
13. 图甲是人体某细胞内的性染色体组成,图乙是改进的“模拟精子与卵细胞的随机结合”的探究实验装置及操作步骤,表格是某班各小组的实验记录。请分析并回答问题。
操作步骤:
①取两个密闭装置(小管下端透明,只能看到一粒弹珠),一个装白色弹珠 20 粒,另一个装白色与黑色弹珠各 10 粒。
②将装置正立,摇匀。
③将装置倒立(如图所示)。
④记录下端看到的弹珠颜色组合。
⑤重复步骤②~④,共 10 次,统计组合出现的次数。


(1)图甲中该人的性别为______,其生殖细胞的染色体组成是______。
(2)图乙中黑色弹珠模拟的是______。
(3)在做统计数据分析时,为使实验结果更准确可靠,对表格中各组的数据应该如何处理?______。
(4)小雅的父母均为天生的双眼皮,小雅为单眼皮(相关基因分别用 $A$、$a$ 表示),那么小雅母亲的基因组成为______。小雅的父母准备再生一个孩子,请预测他们第二个孩子是双眼皮男孩的可能性是______。
(5)在小雅的家族中假如一个性状总是由父亲直接传给儿子,再由儿子传给孙子,那么,决定这个性状的基因最可能位于______染色体上。
操作步骤:
①取两个密闭装置(小管下端透明,只能看到一粒弹珠),一个装白色弹珠 20 粒,另一个装白色与黑色弹珠各 10 粒。
②将装置正立,摇匀。
③将装置倒立(如图所示)。
④记录下端看到的弹珠颜色组合。
⑤重复步骤②~④,共 10 次,统计组合出现的次数。
(1)图甲中该人的性别为______,其生殖细胞的染色体组成是______。
(2)图乙中黑色弹珠模拟的是______。
(3)在做统计数据分析时,为使实验结果更准确可靠,对表格中各组的数据应该如何处理?______。
(4)小雅的父母均为天生的双眼皮,小雅为单眼皮(相关基因分别用 $A$、$a$ 表示),那么小雅母亲的基因组成为______。小雅的父母准备再生一个孩子,请预测他们第二个孩子是双眼皮男孩的可能性是______。
(5)在小雅的家族中假如一个性状总是由父亲直接传给儿子,再由儿子传给孙子,那么,决定这个性状的基因最可能位于______染色体上。
答案:
(1)男性 22条+X或22条+Y
(2)含Y染色体的精子
(3)求平均值
(4)Aa 37.5%
(5)Y
(1)男性 22条+X或22条+Y
(2)含Y染色体的精子
(3)求平均值
(4)Aa 37.5%
(5)Y
查看更多完整答案,请扫码查看