第22页
- 第1页
- 第2页
- 第3页
- 第4页
- 第5页
- 第6页
- 第7页
- 第8页
- 第9页
- 第10页
- 第11页
- 第12页
- 第13页
- 第14页
- 第15页
- 第16页
- 第17页
- 第18页
- 第19页
- 第20页
- 第21页
- 第22页
- 第23页
- 第24页
- 第25页
- 第26页
- 第27页
- 第28页
- 第29页
- 第30页
- 第31页
- 第32页
- 第33页
- 第34页
- 第35页
- 第36页
- 第37页
- 第38页
- 第39页
- 第40页
- 第41页
- 第42页
- 第43页
- 第44页
- 第45页
- 第46页
- 第47页
- 第48页
- 第49页
- 第50页
- 第51页
- 第52页
- 第53页
- 第54页
- 第55页
- 第56页
- 第57页
- 第58页
- 第59页
- 第60页
- 第61页
- 第62页
- 第63页
- 第64页
- 第65页
- 第66页
- 第67页
- 第68页
- 第69页
- 第70页
- 第71页
- 第72页
- 第73页
- 第74页
- 第75页
- 第76页
- 第77页
- 第78页
- 第79页
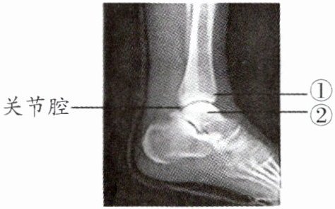
3. 下图为某人左脚的踝关节射线透视图像,①②表示踝关节内的结构。下列说法

A.①是关节头,②是关节窝
B.①②表面覆盖着关节软骨
C.关节腔内有滑液,使关节灵活
D.踝关节在运动中起枢纽(支点)作用
不
正确的是(A
)A.①是关节头,②是关节窝
B.①②表面覆盖着关节软骨
C.关节腔内有滑液,使关节灵活
D.踝关节在运动中起枢纽(支点)作用
答案:
3. A
4. 下图是人在完成屈肘动作时的示意图,肱二头肌的状态变化是(

A.收缩→收缩
B.舒张→舒张
C.收缩→舒张
D.舒张→收缩
D
)A.收缩→收缩
B.舒张→舒张
C.收缩→舒张
D.舒张→收缩
答案:
4. D
5. 足球比赛中,赛场上运动员做任何一个动作时,都包含以下步骤:
①相应的骨受到牵引;②骨绕关节活动;③骨骼肌接受神经传来的兴奋;④骨骼肌收缩。这些步骤发生的正确顺序是(
A.①②③④
B.②①③④
C.③④①②
D.④①②③
①相应的骨受到牵引;②骨绕关节活动;③骨骼肌接受神经传来的兴奋;④骨骼肌收缩。这些步骤发生的正确顺序是(
C
)A.①②③④
B.②①③④
C.③④①②
D.④①②③
答案:
5. C
6. 下列关于人体运动系统的叙述,正确的是(
A.运动系统由骨骼、关节、骨骼肌组成
B.人体的运动是在神经系统的支配下完成的
C.骨骼肌既可以牵拉骨,又能推开骨
D.关节由关节头、关节腔和关节软骨组成
B
)A.运动系统由骨骼、关节、骨骼肌组成
B.人体的运动是在神经系统的支配下完成的
C.骨骼肌既可以牵拉骨,又能推开骨
D.关节由关节头、关节腔和关节软骨组成
答案:
6. B
查看更多完整答案,请扫码查看