1 袁隆平院士团队研发出的“海水稻”能在盐碱地中生长,“海水稻”根细胞中控制无机盐进出的结构是(
A.细胞膜
B.细胞质
C.细胞核
D.细胞壁
A
)。A.细胞膜
B.细胞质
C.细胞核
D.细胞壁
答案:
1. A [解析]细胞膜的主要功能是控制细胞内外物质的进出,A正确。
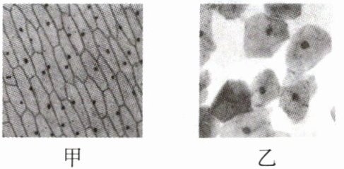
2 如图分别是在显微镜下观察到的洋葱鳞片叶表皮细胞和人口腔上皮细胞,与图乙相比,图甲细胞多的结构有(
①细胞膜 ②细胞壁 ③细胞质 ④液泡 ⑤细胞核 ⑥叶绿体
A.①③⑤
B.④⑥
C.②④⑥
D.②④
D
)。A.①③⑤
B.④⑥
C.②④⑥
D.②④
答案:
2. D [解析]图甲是洋葱鳞片叶表皮细胞,具有细胞壁、细胞膜、细胞质、细胞核、线粒体和液泡等结构。图乙是人口腔上皮细胞,具有细胞膜、细胞核、细胞质和线粒体等结构。所以与人口腔上皮细胞的结构相比,洋葱鳞片叶表皮细胞多了细胞壁和液泡,D正确。
关键提醒 洋葱鳞片叶是植物的非绿色部位,其细胞中无叶绿体。
关键提醒 洋葱鳞片叶是植物的非绿色部位,其细胞中无叶绿体。
(1)与 A 中的①结构和功能相同的是 B 中的
(2)细胞中物质、能量的变化非常复杂,需要统一指挥,细胞生命活动的控制中心是
(3)植物细胞放在清水中不会涨破,是因为 B 具有
⑤
。(2)细胞中物质、能量的变化非常复杂,需要统一指挥,细胞生命活动的控制中心是
②
或⑦
,其内有染色体,染色体是遗传物质
的载体。(3)植物细胞放在清水中不会涨破,是因为 B 具有
④
。丽丽在食用火龙果时,手指和舌头上都沾上了红色汁液,这些红色汁液来自B 中的⑧
。
答案:
3.
(1)⑤ 细胞膜
(2)② ⑦(与上一空顺序可颠倒) 遗传物质
(3)④ 细胞壁 ⑧ 液泡
(1)⑤ 细胞膜
(2)② ⑦(与上一空顺序可颠倒) 遗传物质
(3)④ 细胞壁 ⑧ 液泡
4 课外兴趣小组的同学用显微镜观察池塘水时,发现水中有一种再生能力较强的喇叭虫,若将它切成如图所示的①②③三部分,其中能再生成喇叭虫的是(

A.①
B.②
C.③
D.①②③
B
)。A.①
B.②
C.③
D.①②③
答案:
4. B [解析]①和③部分无细胞核,不具有再生能力,不会再生成喇叭虫,A、C、D错误;②部分包含了喇叭虫的细胞核,而细胞核是指导和控制生命活动的中心,故②部分具有再生能力,B正确。
5 如图是某同学在显微镜下观察人口腔上皮细胞临时装片时绘制的结构简图。图中箭头所指结构的功能是(

A.保护细胞内部结构
B.释放有机物的能量
C.控制细胞生命活动
D.控制物质进出细胞
C
)。A.保护细胞内部结构
B.释放有机物的能量
C.控制细胞生命活动
D.控制物质进出细胞
答案:
5. C
查看更多完整答案,请扫码查看